Geminación dental
Clínica Dental Borrás / Geminación dental
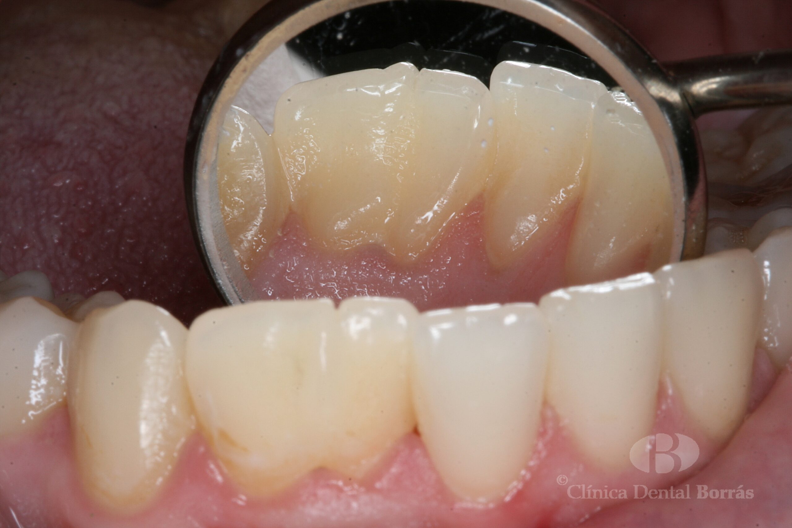
La gemación o geminación dental es el intento de formar dos dientes a partir de un único germen dentario, motivado por una división incompleta de un germen al tiempo que se produce el desarrollo de la corona. Su etiopatogenia no está clara. La alteración en el desarrollo embriológico se puede producir en distinto momentos, ante un intento de división del brote dentario o invaginación del órgano de esmalte en desarrollo.
Una variante especial es la gemelación o duplicación, que se produce por una división completa del germen, lo que da lugar a dos dientes idénticos, uno de ellos supernumerario, imagen en espejo uno del otro (dientes gemelos).
Geminación del 4.1
Intento de división del incisivo lateral inferior derecho
ÚLTIMAS ENTRADAS


Rehabilitación estética tras un traumatismo bucal
